See for yourself what the Kensington Square Dental team can do for you and your smile. Whether you are interested in teeth whitening, veneers, Invisalign, or other dental procedures, we’d be happy to have you join us in the clinic for a consultation. Together, we can revitalize your smile using advanced, pain-free techniques. Let’s transform your smile and your confidence.
-
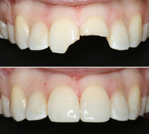
David
Crown
David
Results
Sometimes teeth can be damaged as a result of sports injury or trauma. Crowns can be utilized to restore the strength and structural integrity of teeth while providing for exceptional natural-looking aesthetics. Carefully observe the micro-texturing and shading that mimics natural teeth.
-
Jessica
Dental Implant
Jessica
Results
We try our utmost to save teeth. But when we do need to replace a tooth with an implant tooth, we combine meticulous craftsmanship with the latest surgical techniques to restore teeth and gums. While everyone’s teeth and gums are unique, we strive to make implant teeth look and feel like natural teeth. Would you able to spot the implant tooth?








